무릎 관절에 영향을 미칠 수 있는 관절염은 세 가지 기본 유형이 있습니다. 1) 퇴행성 관절염 골관절염(OA)는 무릎 관절염의 가장 일반적인 형태로 관절 연골이 점차 마모되어 천천히 진행되는 퇴행성 질환이며 대부분 흔히 나타나게 됩니다. 
2) 류마티스 관절염 류마티스 관절염(RA)은 자가면역항체가 자기 관절을 공격하여 관절 연골을 파괴하는 염증성 관절염의 유형으로, 주로 30대 중년 여성에서 잘 발생하는 관절염입니다. 류마티스 관절염은 일반적으로 양측 무릎 관절에 발생하며 또한 손이나 손목 등 다른 관절에도 잘 동반합니다. 
3) 외상 후 퇴행성 관절염 외상 후 관절염은 무릎 부상 이후에 발생하는 관절염으로 골관절염과 유사한 양상을 보이지만 골절, 인대 손상 혹은 반월상 연골 손상 후 수년 후에 발생하게 되는 관절염입니다. 증상 증상은 갑자기 발생할 수도 있지만 대부분 관절염의 통증은 점진적으로 발생하게 되며, 강직되고 부기가 생겨 무릎 관절을 굽혔다 펴는데 많은 어려움이 나타나게 됩니다. 퇴행성 관절염의 통증은 활동 후에 주로 증가하는 양상을 보이며, 따라서 수면시 아프게 되는 특징이 있습니다. 즉 걷거나 뛸 때 또는 계단을 오르고 내릴 때 심해지며, 안정 시에는 완화되는 양상을 보입니다. 그러나 류마티스 관절염은 다발성 관절염으로 통증이 여러 관절에 나타나며 활액막염이 동반되어 많이 붓고 또한 아침에 손가락들의 강직이 특징으로 하는 관절염입니다. 날씨도 기압 차이로 인해 춥거나 비가오면 관절염이 통증에 영향이 있을 수 있습니다. 의사의 검진 무릎의 통증, 운동범위, 붓기 및 걷는 모습 등에 초점을 맞추어서 신체 검진을 시행하게 되며 X-선 검사는 관절염이 있는 무릎에서 대부분의 경우 관절간격의 감소를 관찰할 수 있으며, 하지의 정렬의 이상 정도도 확인할 수 있습니다. 피 검사나 MRI 같은 정밀 검사를 통해 류마티스 관절염을 배제하게 됩니다. 
치료 대퇴사두근 강화 운동, 약물치료 또는 주사 요법 등의 비수술적 치료를 먼저 시행하며, 통증이 악화되는 경우에는 수술적 치료를 시행할 수 있습니다. 1) 비약물치료 생활 방식의 변화,체중 감량 등 손상된 관절에 부담을 덜어줄 수 있는 조치에 대해 교육합니다. 온열 요법은 증상의 완화와 강직을 개선하는데 도움이 되며 걷기, 수영 등 유산소 운동은 증상 및 기능 개선에 도움이 됩니다. 근력 강화 운동은 관절의 통증을 야기하지 않는 자세에서 등장성 운동을 시행하는 것이 좋은데, 대퇴사두근 강화 훈련은 무릎 골관절염의 증상과 기능 개선에 효과가 있습니다. 2) 약물치료 경미한 통중에 대해 acetaminophen과 비스테로이드성 항염증제(nonsteroidal antiimflamrnatory drugs, NSAIDs)는 유사한 효과를 보이며, 중등도 이상의 통증 혹은 관절 삼출액 등의 염증 소견이 동반된 경우는 acetaminophen에 비해 비스테로이드성 항염증제가 추천됩니다.
3) 관절에 대한 국소치료 하이알유론산 관절강내 주사가 증상 개선에 제한적인 효과를 보인다는 보고가 있으며, 약물에 반응하지 않는 통증 및 삼출이나 국소 염증을 보이는 골관절염 환자에서 단기적인 증상 완화를 위해 관절내 스태로이드 주사 사용을 고려할 수 있으나 반복 주사는 피하여야 합니다.
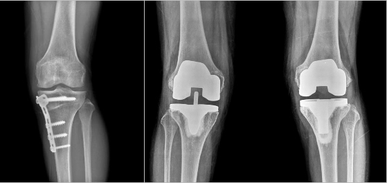
4) 수술적 치료 심한 통증이 지속되거나 관절의 불안정성, 변형 및 운동 제한 등이 진행하면 수술적 치료의 적응이 됩니다. 수술 치료는 관절경을 이용한 세척술 및 변연 절제술부터 하지의 내반 또는 외반 변형을 교정해주는 절골술, 그리고 고령의 심한 관절염 환자에게 시행하는 인공 관절 치환술 까지 많은 방법이 있으며, 환자의 나이와 기대활동 수준, 골관절염의 정도, 이환된 슬관절 구획의 수, 하지 정렬 상태 등 여러 요인을 고려하여 선택합니다.
|